Dişte Siyah Nokta Belirtileri ve Tedavisi
Dişlerde siyah nokta, çürük veya diş minesinin zarar görmesiyle oluşan estetik ve sağlık sorunlarını ifade eder. Belirtileri arasında koyu lekeler, hassasiyet ve ağızda kötü tat bulunur. Tedavi yöntemleri, diş temizliği ve dolgu gibi işlemleri içerirken, önleme için düzenli diş bakımı şarttır.
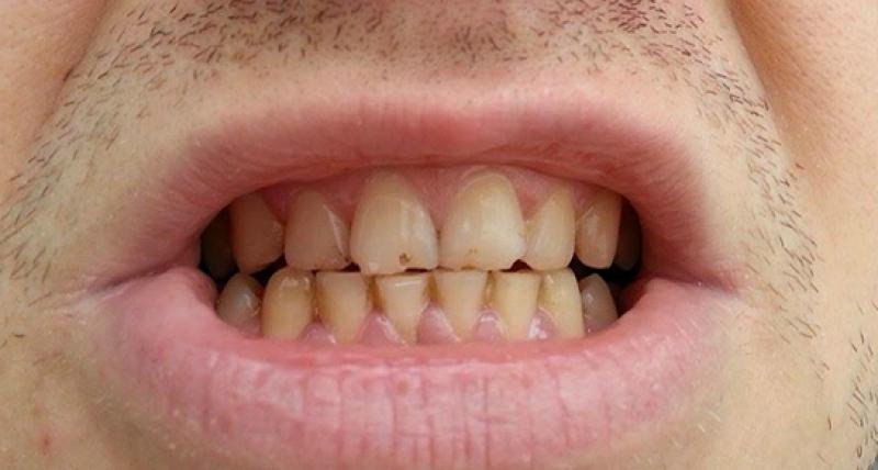
Dişte Siyah Nokta Belirtileri ve TedavisiDiş sağlığı, genel sağlık açısından son derece önemlidir. Dişlerde meydana gelen çeşitli sorunlar, bireylerin yaşam kalitesini etkileyebilir. Dişte siyah nokta, genellikle çürük veya diş minesinin zarar görmesi sonucunda ortaya çıkan bir belirtidir. Bu makalede, dişte siyah nokta belirtilerini, nedenlerini ve tedavi yöntemlerini ele alacağız. Siyah Nokta Nedir? Siyah nokta, dişin yüzeyinde görülen koyu renkli bir leke veya nokta olarak tanımlanabilir. Bu durum, genellikle diş çürüğü veya diş minesinin aşınmasıyla ilişkilidir. Siyah noktalar, dişin estetik görünümünü bozmanın yanı sıra, diş sağlığını da tehdit eden bir durumdur. Siyah Nokta Belirtileri Dişte siyah nokta belirtileri arasında şunlar yer alır:
Bu belirtiler, diş çürüğünün ilerlemesi durumunda daha da belirgin hale gelebilir. Diş sağlığına dikkat edilmediği takdirde, siyah noktalar zamanla büyüyerek ciddi sorunlara yol açabilir. Nedenleri Dişte siyah nokta oluşumuna neden olan bazı faktörler şunlardır:
Bu etkenler, dişlerin yapısını zayıflatarak çürümelere ve siyah nokta oluşumuna zemin hazırlar. Tedavi Yöntemleri Dişte siyah nokta tedavisi, sorunun nedenine bağlı olarak değişiklik gösterebilir. Genel olarak uygulanan tedavi yöntemleri şunlardır:
Tedavi sürecinde, diş hekimi tarafından yapılacak muayene, en uygun yöntemin belirlenmesinde önemlidir. Önleme Yöntemleri Dişte siyah nokta oluşumunu önlemek için alınabilecek bazı önlemler şunlardır:
Bu önlemler, diş sağlığını korumada önemli rol oynamaktadır. Sonuç Dişte siyah nokta, basit bir estetik sorun gibi görünse de, zamanla daha ciddi diş sağlığı problemlerine yol açabilir. Bu nedenle, belirtiler fark edildiğinde bir diş hekimine başvurmak oldukça önemlidir. Düzenli diş bakımı ve sağlıklı alışkanlıklar, bu tür sorunların önlenmesinde kritik rol oynar. Unutulmamalıdır ki, diş sağlığı sadece bireyin değil, genel sağlığın da bir yansımasıdır. Ek olarak, diş sağlığına yönelik farkındalığın artırılması, toplum sağlığı açısından büyük önem taşımaktadır. Eğitim, bilgilendirme ve düzenli diş kontrolleri ile diş sağlığının korunması mümkündür. |






































Dişimde siyah nokta oluştu ve bu durum beni oldukça rahatsız ediyor. Dişlerimi günlük olarak fırçalıyorum ama bu sorunun tekrar ortaya çıkmasından endişeliyim. Yazıda, dişlerdeki siyah noktaların sadece yetersiz fırçalamadan kaynaklanmadığı, sağlık sorunlarının da etkili olabileceği belirtiliyor. Özellikle şeker hastalığı gibi durumların da bu tür belirtilerle kendini gösterebileceği yazılmış. Bu konuda ne yapmalıyım? Dişlerimdeki bu siyah noktayı geçirebilmek için hangi tedavi yöntemlerini denemeliyim? Ayrıca, diş sağlığımı korumak için başka neler yapabilirim?
Merhaba Aren,
Dişlerinde oluşan siyah nokta rahatsız edici bir durum olabilir ve bu konuda endişelenmeni anlıyorum. Öncelikle, diş sağlığın için düzenli fırçalamanın yanı sıra diş ipi kullanmayı da ihmal etmemelisin. Bu, dişler arasındaki kalıntıları temizlemede yardımcı olur. Ancak, siyah noktaların sebebi sadece yetersiz temizlikle sınırlı olmayabilir.
Bir Diş Hekimine Danış
Bu tür durumlarda en doğrusu bir diş hekimine gitmendir. Hekim, muayene ederek sorunun kaynağını belirleyebilir ve gerekli tedavi yöntemini önerebilir. Dişlerdeki siyah noktalar bazen çürük veya diş taşı gibi durumların belirtisi olabilir.
Sağlıklı Beslenme
Diş sağlığını korumak için şekerli gıdalardan uzak durmak, dengeli bir beslenme düzeni oluşturmak ve bol su içmek de önemlidir. Özellikle şeker hastalığı gibi sağlık sorunlarının diş sağlığını etkileyebileceği doğru.
Diş Sağlığına Dikkat
Dişlerini günde en az iki kez fırçalamaya devam et, diş ipi kullanmayı alışkanlık haline getir ve düzenli olarak diş hekimine kontrole git. Ayrıca, sigara içiyorsan bırakmayı düşünmelisin; bu da diş sağlığını olumlu yönde etkiler.
Sonuç olarak, dişlerindeki siyah nokta için en iyi çözüm bir uzmana danışmak ve genel ağız hijyenine dikkat etmektir. Geçmiş olsun!